¿Conoces las enfermedades periodontales?
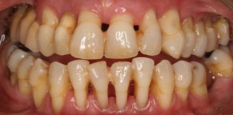
Las enfermedades periodontales son un conjunto de enfermedades inflamatorias que afectan a nuestras encías y hueso debido a una higiene bucal deficiente. Una de las enfermedades periodontales más frecuentes es la gingivitis.

La gingivitis se caracteriza por una inflamación en las encías que se debe al acúmulo constante de placa bacteriana en estas. Al no cepillarnos los dientes correctamente (tiempo/frecuencia/técnica) comenzamos a acumular esta placa bacteriana en nuestros dientes y encías.
Como mencionamos en el post ¿Sabes qué es la placa bacteriana?, esta placa está compuesta por bacterias y elementos de la dieta (entre otras cosas). Ésta produce que nuestras encías se inflamen y se genere una respuesta infecciosa en la zona.
Si esta enfermedad no es detectada y tratada a tiempo puede evolucionar a una lesión más compleja que es la periodontitis.
La periodontitis se caracteriza por la formación de una bolsa o saco periodontal.
¿Qué es una bolsa periodontal?
Entre el diente y la encía hay un espacio fisiológico (normal) de 1 – 3 mm aprox. que se denomina surco gingival. Cuando la gingivitis (inflamación de la encía) se mantiene por mucho tiempo, se vuelve crónica y evoluciona a una periodontitis. En esta fase ya no solo afecta a la encía sino que también al hueso que rodea al diente. El hueso para alejarse de la infección se defiende reabsorbiéndose.
Por lo tanto, este surco gingival comienza a aumentar de tamaño, pudiendo medir hasta 10 mm o más, llamándose ahora bolsa periodontal. Esta bolsa periodontal está llena de microorganismos que son muy dañinos para nuestras encías y sus tejidos circundantes.

¿Cuál es la importancia de esto?
En resumen, si no logramos eliminar la placa bacteriana acumulada en nuestros dientes y encías la inflamación se vuelve crónica y al volverse crónica comienza a perderse hueso. Este hueso es el que mantiene a los dientes en posición en la boca. Con el tiempo la pérdida de hueso provoca movilidad dental y en última instancia la pérdida de los dientes.
Esta enfermedad es tratable pero NO reversible. Por lo tanto, podemos volver de la inflamación a la salud periodontal pero el hueso no se vuelve a regenerar. Es importante detectar esta enfermedad a tiempo para frenar la pérdida de hueso y poder conocer en que estamos fallando en nuestra higiene para poder corregirlo y mantener salud en el tiempo.
Por esto es muy importante visitar al odontólogo para chequear la salud de tus encías.
¿Cuál es la diferencia entre la gingivitis y la periodontitis?
En ambos casos la encía está inflamada y hay sangrado de encías. Este sangrado puede ser espontáneo o provocado.
Una de las diferencias más importantes es que la gingivitis es reversible y la periodontitis es irreversible. ¿Por qué?
Porque la inflamación de las encías, así como el sangrado, se pueden controlar con una buena técnica de cepillado y limpieza dental realizada en la consulta.
En la periodontitis, además de inflamación y sangrado, hay pérdida de hueso lo que provoca la caída de los dientes, y esto además provoca que la encía se retraiga, lo que no se puede revertir.
Las raíces de los dientes están alojadas dentro del hueso, este es el que las mantiene firmes en su lugar. Al ir perdiendo hueso con la periodontitis, el diente comienza a tener movilidad hasta que llega un punto en el que se termina cayendo (o hay que sacarlo por la movilidad excesiva que tiene).

Es por esto que es muy importante realizar una buena técnica de cepillado, usar el hilo dental e ir al dentista (cada 6 meses) para realizarse una limpieza dental y así eliminar de manera efectiva la placa bacteriana que se acumula debajo y alrededor de las encías.